肺癌患者的有效检查,若担心肺癌,可以通过以下检查辨别。
1、细胞从痰中找癌细胞,是简单有效的早期诊断方法。痰液容易取得、方便、无痛苦,可重复检验,有相当的患者能从痰中找到癌细胞。缺点是从痰中找到癌细胞的概率不是非常高。
2、影像学检查
X线检査(胸部平片、体层摄影及部分病人的支气管造影等)是诊断肺癌的重要方法之一。有方便和实用的价值,但X线影像仅能反映局部的病理变化,要结合其他检查综合分析,才能做出全面评价。CT对判断肿瘤位置大小,肺癌的定性、定位、分期诊断,以及确定治疗方案很有帮助。
3、纤维支气管镜检查:能直接观察声带、气管及支气管内的病理改变,同时可取得组织样本来进行进一步病理学检查,以确定诊断。
4、有生化及免疫学检查等多种方法。如癌指数(CEA)基因检测、血液中癌细胞检查等都有较好的应用价值。
小细胞肺癌案例
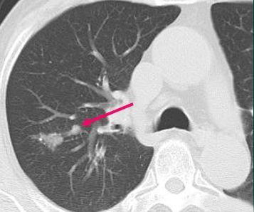
这是一位67岁男性病人,2013年体检发现右肺分叶状实性结节:

这个病人没有症状,结节比较光滑,会不会是结核球?我们不急于定论,先利用设备的强大后处理功能把图像放大后,观察到两个细节:

肺门侧有一个小结节,首先考虑淋巴结(局部转移),同时结节的远侧带一点光滑的小尾巴,这提示早期转移,淋巴浸润的可能,最符合小细胞肺癌的特点。进一步给病人做了增强扫描,显示这个小结节呈轻度强化(小细胞肺癌大多乏血供,多呈轻度强化),这就不应该直接手术了,需要先穿刺明确病理,因为如果是小细胞肺癌,转移早,进展快,手术不能获益(只有大约5%的局限期小细胞肺癌可以手术)。
病人后来做了经皮肺穿刺,病理果然是小细胞肺癌,免疫组化显示:CKpan+,Syn+,CgA+,TTF-1+,CK5+,Ki-67+80%。这个患者没有手术,听从医生指导选择了放化疗为主的综合治疗,至今健在,6年多了!这个病例说明:小细胞肺癌,放化疗也有机会治愈!
很多人认为癌症根本治不好,治好的都不是癌症,是误诊!这个错误的观点误导了不少人,让一些本来有机会治愈的病人放弃了机会,丢掉了希望。这是不对的。我是一名肿瘤医生,分享病例,传递正能量!肿瘤高发时代,癌症是个难以回避的问题,希望这些正能量的病例能给需要的人群更多鼓励,提振信心!